脊椎・脊髄疾患 : 頚椎前方除圧固定術(ケージを使用した手術)
概要
頸椎症や、頚椎椎間板ヘルニアで神経を圧迫している部分が、神経より前方(のど側)にある場合に、のどのあたりから入って、あっぽあくの原因となっているものを取り除きます(除圧)。その後、除圧した上下の骨を固定します。その際チタン製のケージという医療材料を使用して、骨と骨が療合するまでの間の固定の補助とします。
入院期間はご相談ください。
特徴
- 他の部位からの骨をとりません。
- 手術翌日から歩行可能です。
- 術後しばらくは、ソフトカラーを着用していただきます。
手術の流れ
頚椎断面図
手術前。頸椎症や、頚椎椎間板ヘルニアで神経が圧迫されています。
脊髄や神経根を圧迫している部分にだどりつくために、椎間板を取り除きます。その空間から器具を入れて、脊髄等を圧迫している椎間板組織や骨を取り除くます。これで、しびれや痛みなどの症状の原因が取り除かれます。
椎間板が取り除かれたままでは、上下の骨がゆるい状態になるため、チタン製のケージを挿入し、上下の骨をしっかり固定します。
頚椎前方除圧固定術で使用するチタン製ケージ
ボックス型
シリンダー型
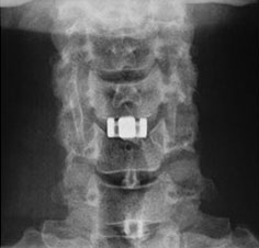
レントゲン 正面像
レントゲン 側面像

