外科
外科について
当院は病院名の示す通り消化器病の治療に特化した病院で、この領域の疾患に対する治療において短期間で数多くの実績を積み上げてきました。 当科では、胆石症、虫垂炎、そけいヘルニアなどの良性疾患はもちろん、胃癌、大腸癌、膵臓癌、胆管癌などの消化器の悪性の疾患に対しても、腹腔鏡(ふくくうきょう)を中心とした手術を、安全かつ確実に行なっています。 外科スタッフの増員と手術棟の増築もあり、今後もさらに手術実績の向上を目指しております。 また近年増加傾向にある他の疾患、特に乳腺、甲状腺疾患など消化器病以外の外科疾患にも対応し外科全般の機能と実力をさらに強化してまいります。
診療目標
- 1. 的確な診断と手術適応の決定、安全で確実な治療に努めます。
- 2. 時代のニーズに合わせた最新で質の高い医療を実践します。
- 3. 手術治療が患者様の病気の治癒や苦痛の緩和につながるように努めます。
- 4. 外科治療においては可能な限り低侵襲手術を行うように努めます。
診察・治療
(1)消化器疾患
①腹腔鏡手術
<キズは小さく、痛みは少なく、体に優しく>
多くの患者様に、体に優しく負担の少ない低侵襲(ていしんしゅう)な腹腔鏡(ふくくうきょう)手術を安全かつ確実におこなっております。
従来の消化器の手術ではお腹を大きく切る(10cm~20cmの長さ)開腹手術が行われていました【図1】。一方腹腔鏡手術は、開腹の手術と比べて圧倒的に小さいキズで行います。お腹にポートと呼ばれる細い筒状の装置を入れここから炭酸ガスを注入してお腹を膨らませ手術をおこなうためのスペースを作ります。さらにポートからカメラを入れてお腹の中を見ながら、腹腔鏡手術用の細長いピンセットやハサミを用いて患部の手術を行います。腹腔鏡手術のキズはおへそを中心とした5mm~1cm程度の複数のキズでおこなうため、痛みが軽く、入院期間が短くなり、仕事など社会復帰も早くなります【図2】。
【図1】開腹手術のキズ(大腸手術)【図2】腹腔鏡手術(同)

ただしすべての患者様でこの手術が行えるわけではなく、病期の進行度やお腹の中の状態、全身の状態を十分に評価したうえでその適応を慎重に決めています。 また手術を腹腔鏡手術で開始しても、手術の最中に何らかの理由で従来の開腹手術に変更せざるを得ない場合もあります。
② 対象となる病気
かかりつけの病院などで以下の病気と診断され、手術を勧められた方、または腹腔鏡手術を希望される方は、当院外来をぜひ受診してください。
良性の病気
- 胆のう結石症、胆嚢ポリープ、胆嚢腺筋症
- 急性虫垂炎(もう腸)
- そけいヘルニア(脱腸)、大腿ヘルニア
- 癒着(ゆちゃく)性、絞扼(こうやく)性の腸閉塞、腸捻転
- 腹痛、出血を伴う大腸憩室症
- 痔疾患 など
悪性の病気
- 胃がん、間葉系(かんようけい)腫瘍(GIST)
- 大腸がん(結腸・直腸がん)
- 肝臓がん(転移性もふくむ)
- 胆管・胆のうがん
- 膵臓がん など
このうち腹腔鏡手術は、虫垂炎やヘルニア、胆石症などではほぼ全例に、胃や大腸の病気で7割ほどに実施しています。比較的難易度の高い肝臓・膵臓・胆管の手術でも十分な適用を検討のうえで施行可能な場合は積極的に腹腔鏡手術を導入しています。
日常の診療に関しては、特に当院の消化器内科医、放射線科医とはカンファレンスを通して診断や治療に関しての情報を共有し、診断から手術・術後内科的治療・経過観察などが円滑に進むように心がけております。
また医師を中心に看護師、薬剤師、検査部門、リハビリ部門、ソーシャルワーカーなどのコメディカルと連携を密にしたチーム医療やクリニカルパスの導入などを積極的に導入しており、質が高くきめ細かい医療を提供するようにも心がけています。
③ 手術数(疾患別、年度別)の変遷
当科における手術件数の年度別推移を疾患別に表とグラフに示しています。
急性期一般病院として機能転換をした2011(平成23)年より消化器手術が始まりました。したがってこの年以降の実績および推移となります。【図3】
当院での多い手術としては、大腸・直腸、胆石、虫垂炎です。また、その他には痔疾患、乳腺、肺などが含まれます。【図4,5】
また、消化器手術のうち全体の70%で腹腔鏡手術が行われています。【図6】
-
【図3】

-
【図4】

-
【図5】

-
【図6】

2017(平成29)年度より手術棟の増築により、手術室がこれまでの1部屋から3部屋に大幅に拡充されました。 【図7新手術室】これらによりさらに多くの患者様の手術の受け入れが可能となります。
【図7新手術室】
(2)乳腺疾患
①乳がん検診
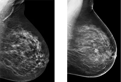
マンモグラフィーを導入し乳がん検診を平成27年10月から開始しました。 当院で導入するマンモグラフィーは従来の機器に比較し、より微小な病変を描出可能としたトモシンセシスと呼ばれるものです。 従来の写真では正常な乳腺組織に隠れてしまっていた病変をCT画像のように任意の断層像に再構成し見つけやすくするものです。 トモシンセシスは全国的にも十分に普及していない最新鋭の機器で、私たちもこれまで見つけづらかった病巣の早期発見に大きな期待をよせているところです。 札幌市内医療機関のマンモグラフィー導入数49施設のうち当該機器は3施設しか導入されておらず、当院が4施設目(札幌市西区では初の導入)となります。 また当院の乳がん検診は可能な限り女性医師および女性放射線技師・生理検査技師が担当し、さらにトレーニングを受けた複数の医師で画像所見の判定を行います。 したがって検診の結果判定や診断の精度・質はきわめて高いものと自負しています。
乳がんは爆発的に増加の一途をたどっており近い将来には女性の8人に1人が罹患するという予測もありますが、乳がんに罹患しても早期に発見し適切な治療を受けることで治癒する可能性が高く、また乳がんの早期発見や治療成績の向上に検診の有効性も示されています。 しかしながら札幌をはじめ北海道の女性の乳がん検診受診率は20%台と未だ低く、当地は全国的にも低い水準の地域です。 当院の乳がん検診参入が少しでも検診受診率の向上につながればと願っております。
- トモシンセシス

- 2Dマンモグラフィーとの比較

②乳がん検診
もし検診で精密検査が必要になった場合は引き続き当院外科で、必要に応じて血液検査、CT検査、超音波検査などとともに細胞診、組織診断などをおこない確定診断をつけることができます。 そのうえで乳がんと診断された場合には、手術を含めた適切な治療方針を、乳癌診療ガイドライン(日本乳癌学会編)などに準拠し科学的根拠に基づいて担当医から説明いたします。 もちろんセカンドオピニオンも患者様の権利ですのでためらわずご活用ください。 当院でも手術や薬物治療などの乳がん治療を提供できるように、医師、がん化学療法認定看護師、薬剤師などが中心となってチーム医療を実践しております。
- 手術室

- 外来化学療法室

(3)甲状腺疾患
甲状腺はあまりなじみのない臓器ですが、潜在的に多くの患者様がいるといわれます。 前頸部にある小さな臓器ですが、正常ならば全く目立たないものです。 したがって甲状腺が明らかに腫れている場合は(自覚的にも他の人からの指摘でも)検査をお勧めします。 甲状腺は体の恒常性を保つ大事なホルモンを分泌する内分泌臓器ですが、ホルモンが過多でも不足しても不具合がでます。 これらホルモン異常でも腫れてくることがありますが、甲状腺に腫瘍ができている場合も腫れてくることがあります。 外科で治療の対象となるのは多くはこの腫瘍による甲状腺の腫れです。外来では触診の他、CT、超音波検査、細胞診などをおこない治療方針を決定します。 これらの検査で悪性(癌)と診断された場合は手術が必要になります。 しかし良性の腫瘍の場合でも、頸部は喉頭、気管、咽頭、食道、血管、神経などが密に存在する狭小で特殊な部位であることから、腫瘍がある程度大きくなると圧迫症状をきたすこともあるため、手術を行う場合もあります。
(4)下肢慢性閉塞性動脈硬化症
生活スタイルの欧米化により動脈硬化に起因する疾患も急増しています。 動脈硬化が進行すると血管の弾力性が失われ血管の内側の膜が障害されやすくなり、その結果血管の狭窄(キョウサク=狭くなること)や閉塞(ヘイソク=詰まること)をきたすようになります。 心臓の冠動脈や頸部・脳血管にこれらが起こると生命にかかわる重篤な状態に陥る場合もあります。 動脈硬化は、高血圧、糖尿病、高脂血症、喫煙、血液透析など他の合併症があるとさらに進行しやすくなります。 動脈硬化症はいわば全身病ですので、心臓や脳の血管ばかりでなく、この影響を受けやすい血管の1つが下肢の動脈です。 これが慢性的に狭くなっていきやがて閉塞してしまう病気が下肢慢性閉塞性動脈硬化症です。 足が痛い(特にある一定距離を歩くとふくらはぎが痛くなり、しばらく休むと楽になってまた歩けるようになる)といった訴えが、足の血管(動脈)が詰まってきている重要な症状です。 これは間歇性跛行(カンケツセイハコウ)と呼ばれますが、病状が進行すると安静時にも痛みが出現し、さらに悪化すると治りづらい潰瘍を作ってしまい最後には壊死をきたします。 このような場合には血管の閉塞(詰まること)がゆっくり慢性的に進行し重症化していることが予想されますので早めの受診をお勧めします。
外科では視触診(足の皮膚温、脈がとれるかどうか)、ABI※測定、血液の流れの波形の解析などを行い、血管の閉塞が疑われる場合はCTやMRIによる血管撮影に進みます。 その結果により薬物治療を選択するか、カテーテル治療を含む手術的治療を行うかを提示します。 現状では当院での手術治療は困難ですので、手術適応のある場合は他の専門医療機関に紹介しています。 前述した通り動脈硬化症は全身病ですので、心臓や脳の血管も同程度に進行している場合もあることから、状況に応じ循環器内科や脳神経外科の先生にも診察をお願いする場合もあります。
※ABI(Ankle Brachial Pressure Index):下肢(くるぶし辺り)と上肢(腕)の血圧を同時に測り、その比をとり数値に表す。通常は下肢の血圧の方が上肢より高いので1.0以上になるのが正常。 下肢の血管が動脈硬化などで細くなり血流が低下するとこの数値が下がり、一般的には0.8を下回ると間歇性跛行が出現し、以下数値が下がるにつれ症状が悪化、0.4以下は重症な阻血状態といわれる。
- MRIによる血管撮影

(5)下肢静脈瘤
足の静脈が瘤(コブ)状に腫れてくる病気で、クモの巣状あるいは青くチリチリした血管も広い意味で静脈瘤に分類されます。状態の軽いものを含めるとかなりの頻度で女性に多くおこる病気です。お産を経験するとさらに目立ってきますが、長らく立ち仕事に携わっている方ですと男性にもよく見られます。静脈はその弁の働きにより、血液を足の先から心臓に向かって流す役目をしていますが、お産や立ち仕事などにより静脈弁の働きが損なわれ血液の逆流をおこし循環不全にいたると、血管内に血液がとどこおり瘤のように腫れてくるといわれています。症状としては、むくみや足のおもだるさ、夜間就寝時のけいれん、かゆみ、さらに悪化すると治りにくい皮膚潰瘍をつくることもあります。診察するだけで診断がつきますが、静脈内で血液が逆流している所見をドップラー聴診器という特殊な器械をもちいて確認します。血管造影や超音波検査を追加することもあります。多くは弾性ストッキング(締め付けの強い医療用ストッキング)を履くとかなり症状がよくなりますが、手術治療をお勧めする場合もあります。
医師紹介

| 氏名 | 越湖 進(こしこ すすむ) 副院長 |
|---|---|
| 卒業年度 | 平成元年 |
| 経歴 | 旭川医科大学医学部卒業 |
| 学会認定資格 所属学会 |
医学博士 日本外科学会専門医・指導医 日本消化器外科学会専門医・指導医 日本消化器がん外科治療認定医 日本乳癌学会認定医 |

| 氏名 | 早馬 聡(はやま さとし) 外科部長 |
|---|---|
| 卒業年度 | 平成10年 |
| 経歴 | 北海道大学医学部卒業 |
| 学会認定資格 所属学会 |
医学博士 日本外科学会専門医・指導医 日本消化器外科学会専門医・指導医 日本消化器病学会専門医・指導医 日本膵臓学会指導医 日本消化器がん外科治療認定医 日本がん治療認定医 日本肝胆膵外科学会評議員 マンモグラフィ読影医 四段階注射法講習会講習会受講 日本胆道学会指導医 |

| 氏名 | 松本 哲(まつもと さとる) 外科副部長 |
|---|---|
| 卒業年度 | 平成18年 |
| 経歴 | 旭川医科大学医学部卒業 |
| 学会認定資格 所属学会 |
医学博士 日本外科学会専門医 日本消化器外科学会専門医・指導医 日本内視鏡外科学会技術認定医 日本消化器がん外科治療認定医 |

| 氏名 | 三橋 洋介(みつはし ようすけ) 医長 |
|---|---|
| 卒業年度 | 平成18年 |
| 経歴 | 東京医科大学医学部卒業 |
| 学会認定資格 所属学会 |
日本外科学会専門医 日本消化器外科学会専門医 日本消化器がん外科治療認定医 |

| 氏名 | 川﨑 仁司(かわさき ひとし) |
|---|---|
| 卒業年度 | 昭和62年 |
| 経歴 | 旭川医科大学医学部 卒業 |
| 学会認定資格 所属学会 |
日本外科学会専門医・指導医 日本消化器外科学会専門医・指導医 食道学会食道科認定医 日本がん治療認定医 |

| 氏名 | 乾野 幸子(けんの さちこ) |
|---|---|
| 卒業年度 | 平成16年 |
| 経歴 | 熊本大学医学部 卒業 |
| 学会認定資格 所属学会 |
日本外科学会専門医 日本消化器外科学会専門医 日本消化器病学会専門医 日本がん治療認定医 日本内視鏡外科学会技術認定医 |

| 氏名 | 齋藤 博紀(さいとう ひろき) |
|---|---|
| 卒業年度 | 平成16年 |
| 経歴 | 防衛医科大学校卒業 |
| 学会認定資格 所属学会 |
医学博士 日本外科学会専門医・指導医 日本消化器外科学会専門医・指導医 日本消化器がん外科治療認定医 日本がん治療認定医 |

| 氏名 | 佐々木 春菜(ささき はるな) |
|---|---|
| 経歴 | 北海道大学医学部医学科卒業 |
| 学会認定資格 所属学会 |
日本外科学会外科専門医 検診マンモグラフィ読影認定医 |
学会・論文
NCDについて
当科は、一般社団法人National Clinical Database(NCD)が実施するデータベース事業に参加しています。
詳しくはこちらをクリックしてください。




